- Home›
- Healthy Living›
- 8 Side Effects Of Drinking Too Much Apple Cider Vinegar
8 Side Effects Of Drinking Too Much Apple Cider Vinegar
By: Priyanka Maheshwari Sat, 01 June 2024 01:18:03

Apple cider vinegar (ACV), derived from fermented apple juice, undergoes a meticulous two-step fermentation process. Crushed apples ferment with yeast, converting sugars to alcohol, then bacteria transform it into acetic acid, the vinegar's active component.
ACV, often from organic apples, boasts a distinctive amber hue and robust aroma. Revered for centuries, it serves culinary, household, and medicinal purposes. With a pH level of 2 to 3, its fermentation renders it acidic.
Packed with acetic acid, enzymes, vitamins, minerals, and antioxidants, ACV finds use diluted in water or as a dressing in culinary creations.
Despite its touted health benefits, prudent consumption is advised due to its acidity. Explore 8 potential side effects in this article.

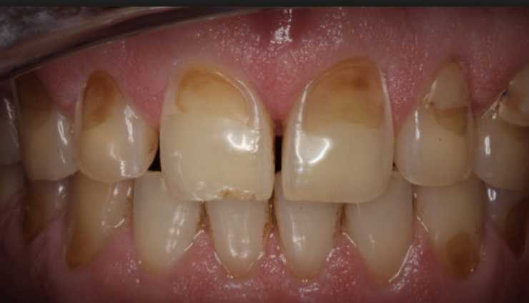
# Tooth Enamel Erosion
Apple cider vinegar is highly acidic, and frequent consumption can erode the enamel on your teeth. This can lead to tooth sensitivity, increased risk of cavities, and discoloration. To minimize the impact on your dental health, dilute apple cider vinegar with water and rinse your mouth after consuming it.

# Digestive Issues
While apple cider vinegar is believed to improve digestion in moderate amounts, excessive consumption can lead to digestive problems. The high acidity of ACV may irritate the stomach lining, causing symptoms such as heartburn, indigestion, and stomach cramps.

# Low Potassium Levels
Excessive intake of apple cider vinegar may cause a decrease in potassium levels in the body. This can lead to muscle weakness, fatigue, and irregular heartbeat. It is especially important for individuals taking medications that lower potassium levels to exercise caution when consuming ACV.

# Blood Sugar Imbalances
Apple cider vinegar has been touted as a natural remedy to help regulate blood sugar levels. However, consuming too much ACV can actually lower blood sugar levels excessively, leading to hypoglycemia. This can cause symptoms like dizziness, confusion, and fainting.

# Interference with Medications
Apple cider vinegar can interact with certain medications, including diabetes medications, diuretics, and potassium-lowering drugs. It may interfere with their effectiveness or amplify their side effects. It is crucial to consult with a healthcare professional before consuming ACV if you take any medications regularly.

# Throat and Esophageal Irritation
Drinking undiluted apple cider vinegar can irritate the throat and esophagus, causing a burning sensation and discomfort. This is particularly true for individuals with sensitive digestive systems or those who have a history of acid reflux or gastroesophageal reflux disease (GERD).

# Bone Density Reduction
Some studies suggest that excessive consumption of apple cider vinegar may contribute to a decrease in bone density over time. Prolonged consumption can potentially increase the risk of osteoporosis and fractures. It is important to consume ACV in moderation and ensure adequate calcium and vitamin D intake for bone health.

# Skin Irritation
Applying undiluted apple cider vinegar directly to the skin can lead to skin irritation, redness, and dryness. It is recommended to dilute ACV with water before using it topically or opt for other skincare remedies.





