- Home›
- Healthy Living›
- 17 Common Mouth And Tongue Problems People Might Go Through
17 Common Mouth And Tongue Problems People Might Go Through
By: Priyanka Maheshwari Wed, 07 Feb 2024 11:40:38

You may be instructing your children on practicing good dental hygiene to help prevent oral issues, but understanding how these conditions impact your own mouth may be necessary.
The mouth serves as the initial segment of the digestive system, designed to receive food through ingestion, break it down by chewing, and mix it with saliva. It comprises the teeth and tongue and receives secretions from the salivary glands.
The tongue, a vital organ for speech and taste, often manifests any arising issues through changes in appearance and sensation.
According to data from the World Health Organization (WHO), in India, over 95% of adults experience dental caries, while more than 50% suffer from periodontal disease.
A recent global health survey found that only 45% of Indians brush their teeth twice daily, a notably lower percentage compared to China, Colombia, Italy, and Japan, where reported rates range from 78% to 83%.
Common mouth problems
# Amalgam Tattoo
An amalgam tattoo, often a byproduct of common dental fillings, presents as a common discoloration within the mouth. These tattoos typically manifest as small grey or black spots measuring less than 0.5 inches across and usually do not exhibit noticeable symptoms. They often reflect underlying dental or skin conditions.

# Bad Breath (Halitosis)
Halitosis, or bad breath, can stem from poor dental hygiene exacerbated by dietary choices and may signal underlying health issues linked to unhealthy lifestyle habits. Various treatments exist to address bad breath.

# Black Hairy Tongue
Black hairy tongue results from bacterial or fungal overgrowth in the mouth, characterized by a black, fuzzy appearance on the tongue. While not inherently dangerous, it's frequently observed in individuals with HIV or those who use intravenous drugs. Although black is the most common coloration, the tongue can also turn brown, yellow, green, or other hues.

# Canker Sores
Canker sores, also known as aphthous ulcers, are small mouth ulcers that can cause discomfort while eating and speaking. They often occur more frequently in women due to hormonal differences and are classified into minor, major, and herpetiform types based on size and presentation.

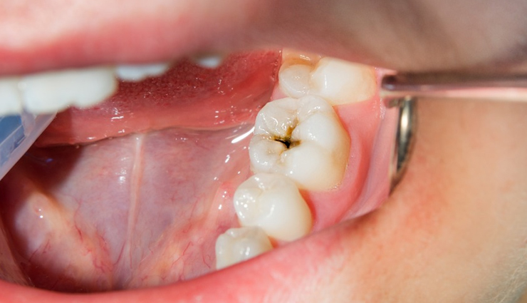
# Cavities
Cavities are erosions or small holes in teeth caused by tooth decay resulting from acid erosion of tooth enamel. They manifest in various types, including smooth surface, pit and fissure decay, and root decay, each affecting different areas of the tooth surface.

# Tooth Abscesses
Tooth abscesses are infections of the mouth, face, jaw, or throat, originating from gum or tooth infections. They can be classified as periapical, periodontal, or gingival, depending on the affected area.

# Cold Sores
Cold sores are fluid-filled blisters, primarily appearing on the lips or around the mouth, caused by the HSV-1 virus, with the potential to affect other facial areas like the cheeks, nose, and chin.

# Chipped Teeth
Chipped teeth occur when portions of tooth enamel break off, potentially causing cosmetic concerns and discomfort. Prompt dental attention may be required, with options like preserving the chipped piece in milk or saliva and seeking professional assistance.

# Leukoplakia
Leukoplakia presents as white, red, or grey patches on the tongue, inner cheek, or mouth floor, commonly observed in older adults. While typically harmless, it can indicate a risk of oral cancer, necessitating proper diagnosis and treatment.

# Lichen Planus
Lichen planus is an inflammatory condition affecting various body parts, including the mouth, where it manifests as white, lacy patches often accompanied by painful sores.

# "Lie" Bumps
Transient lingual papillitis, colloquially known as "lie" bumps, are small, red or white bumps on the tongue that may cause discomfort and usually resolve within a few days.

# Thrush
Thrush, a common fungal infection, can occur in the mouth and throat, presenting as white lesions resembling cottage cheese. Treatment typically involves antifungal medication.

# Oral Cancer
Oral cancer refers to cancerous cell growth in mouth or throat tissues, often originating from squamous cells. Early detection is crucial for improving survival rates.

# Geographic Tongue
Geographic tongue is a benign inflammatory condition causing map-like patches on the tongue's surface, which can shift locations and occasionally cause discomfort.

# Mouth Ulcer
Mouth ulcers result from various causes like injury, medication, infections, or medical conditions. Most are harmless and resolve independently, but persistent ulcers may warrant medical attention.

# Dry Mouth
Dry mouth, or xerostomia, arises from insufficient saliva production, often due to medications, ageing, or radiation therapy. It can impact oral and overall health, requiring tailored treatment approaches.

# Aspirin Burn
Aspirin burns can occur when aspirin tablets are applied directly to teeth or oral mucosa, leading to chemical burns due to the acid content. While aspirin is effective for pain relief, direct application should be avoided to prevent such burns.





