- Home›
- Healthy Living›
- 9 Home Remedies For Plaque And Tartar
9 Home Remedies For Plaque And Tartar
By: Kratika Maheshwari Thu, 04 Aug 2022 12:51:45

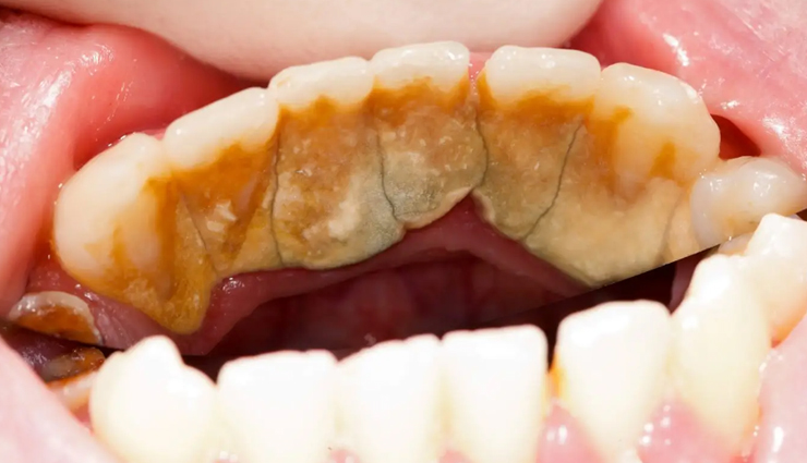
Plaque refers to a transparent or pale yellow biofilm that forms on the teeth, gums, tongue, and other surfaces inside your mouth. It is composed of saliva, food debris, and fluids that provide sustenance to oral bacteria.
If you don’t clean the mouth properly daily, these bacteria will continue to grow at a rapid rate and form even more plaque.
The sticky plaque can harden over time after mixing with the calcium from your saliva and form yellow or brown deposits called tartar or calculus on the teeth.
Unlike plaque, which can be removed through proper oral hygiene, tartar is much more difficult to get rid of and usually requires a professional dental cleanup.

# Try oil pulling
The practice of oil pulling for oral hygiene goes back a long time and has yielded positive outcomes in reducing the bacterial load in the mouth.
Although this technique can be performed using a variety of edible oils, extra-virgin coconut oil is one of the most preferred options given its potent antimicrobial properties.
- Rinse your mouth with 1 tablespoon of extra-virgin coconut oil, swishing it around for at least 15–20 minutes so that it washes over your teeth and gums before spitting it out.
- You can also massage your gums with a few drops of coconut oil daily.
- If you are out of coconut oil, warm sesame oil can be used as a substitute.

# Brush your teeth with baking soda
Baking soda is considered to be a gentle abrasive that may help scrape off the plaque biofilm from your teeth without eroding the enamel. It may also work as a mild exfoliant to remove stains from your teeth.
Several studies have favored the use of dentifrices or toothpaste containing baking soda for plaque removal and overall oral hygiene as opposed to those without it.
How to use: Gently brush your teeth with a small amount of baking soda once a week, but remember to rinse your mouth and teeth thoroughly thereafte

# Apply aloe vera
Aloe vera is known to impart freshness to the mouth by combating bad breath, which is also a by-product of bacterial accumulation in the mouth.
Studies found aloe vera to be as effective as the regularly used chlorhexidine mouthwash in combating plaque and gingivitis.
How to use: Apply the pulpy flesh contained in an aloe vera leaf to your teeth and gums for approximately 10 minutes and then rinse it off with cold water. For maximum effect, use this topical remedy two times a day.

# Use green tea as a mouthwash
Green tea is packed with a heavy dose of catechins and polyphenols that may aid your oral health in more ways than one.
A green tea mouthwash may reduce the risk of plaque formation and tooth decay by inhibiting the corrosive activity of oral bacteria.
In fact, some studies have compared the antiplaque activity of green tea to any regular variety of chlorhexidine-containing mouthwash.
However, more large-scale research is needed to conclusively establish the beneficial effects of green tea in combating dental plaque.
How to use: Prepare a cup of green tea and allow it to cool down to room temperature before using it as a mouth rinse for plaque removal.

# Use cranberry-containing dentifrices
Cranberry is packed with tannins that possess antibacterial and antioxidant properties, both of which can go a long way in preserving your oral health.
It can inhibit plaque and tartar accumulation as well as ward off several systemic infections that can be traced back to oral microorganisms.
Cranberry may even keep the plaque-producing bacteria from sticking to the dental surface, making the biofilm easier to remove.
Several studies have highlighted the efficacy of cranberry-containing dentifrices in reducing the growth of oral microbes, particularly the plaque-inducing Streptococcus mutans when used regularly.
However, more large-scale studies are needed to conclusively establish these claims.
How to use: Use a cranberry-based mouthwash or consume cranberry juice to reduce your plaque scores and improve your overall oral health.

# Eat more cheese
One way to neutralize the acidic environment of your mouth is by eating more dairy products such as cheese, which figures high on the pH scale.
Cheese is also rich in tooth-building minerals such as calcium and phosphate, which can help fortify your teeth against plaque-induced damage.

# Use orange juice and peel to remove tartar
The peel and juice of an orange can be used to remove the stubborn tartar deposits from your teeth.
The citric acid present in orange juice can break down the calcified tartar so that it becomes easier to remove. Once the tartar has softened, you can wipe it off with the fibrous skin of an orange.
One study demonstrated that the vitamin C in oranges helped strengthen teeth and assist the body in clearing away the bacteria in tartar.
- Apply a little orange juice all over your teeth and let it sit for about 5 minutes to loosen the plaque/tartar.
- Gently rub the orange peel on the teeth to remove the softened plaque/tartar.
- Rinse your mouth with a mouthwash.

# Chew some guava leaves
Guava is known for its anti-inflammatory properties that help in removing plaque accumulated on the teeth and gums and reduce the gingival swelling and pain associated with it.
How to use: Wash a few guava leaves and chew them thoroughly so that their juice covers your teeth, tongue, and gums before spitting them out. Do this every day to reduce plaque formation on the teeth.





