- Home›
- Healthy Living›
- 5 Common Old-Age Dental Problems And The Tips And Tricks To Solve Them
5 Common Old-Age Dental Problems And The Tips And Tricks To Solve Them
By: Priyanka Maheshwari Thu, 05 Sept 2024 10:30:35

Age gracefully like fine wine and keep your smile bright as sunshine! Dental care for seniors is just as important as it is in younger years. In fact, elderly teeth and gums require extra attention to counter the effects of aging.
Geriatric dentistry, a specialized branch of dental science, focuses on preserving and restoring oral health in older adults. Let’s dive into the best ways to take care of seniors' dental health like a true expert!As people age, dental health often becomes a significant concern due to various changes in the body. Common old-age dental problems are linked to natural wear and tear, declining immunity, and lifestyle factors accumulated over the years. Some of the most frequent dental issues in elderly people include:

# Dry Mouth
Dry mouth is a common issue among the elderly, often caused by factors such as medication schedules, radiation therapy (especially in cancer patients), or the natural shrinking of salivary glands. This condition creates an environment conducive to bacterial growth, leading to cavities and gum infections.
How to Manage It:
* Drink plenty of water, but be mindful not to overwhelm the aging kidneys with excessive fluid intake.
* Sucking on vitamin C tablets or including citrus foods in your diet (in moderation) can stimulate saliva production.
* Regular dental visits are crucial to monitor and address any emerging dental issues.

# Missing Teeth
Tooth loss in seniors can result from cavities, root decay, fractures, and other issues. Missing teeth or gaps can hinder proper chewing, leading to nutritional deficiencies and digestive problems.
Solutions:
* Routine dental check-ups can address cavities, perform root canal treatments, and restore damaged teeth with crowns and bridges.
* Dentists might recommend dentures to replace missing teeth.
* Dental implants and implant-supported crowns or bridges are also effective options for tooth replacement.

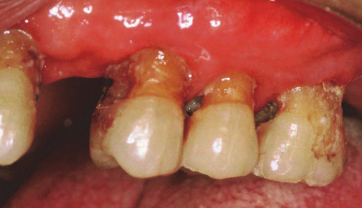
# Gum Diseases
Gum diseases in the elderly are often caused by plaque buildup, food debris, smoking, poorly fitted dentures, an unhealthy diet, and conditions like diabetes. Gum infections can result in loose teeth and bad breath.
Prevention and Care:
* Maintain good oral hygiene.
* Use dental floss or a water flosser to clean between teeth.
* Rinse with an alcohol-free mouthwash after brushing.
* Avoid sugary foods.
* Quit smoking and consume alcohol in moderation.

# Fungal Infections
Aging, medication use, poor dietary choices, and inadequate hygiene can weaken the immune system in older adults. A dry mouth, which promotes fungal growth (especially Candida), can exacerbate these infections.
Possible Solutions:
* Maintain good oral hygiene practices.
* Use antifungal medications as prescribed by a healthcare provider.

# Lesions and Tumors
For mouth lesions and tumors in seniors, it’s essential to consult a healthcare professional. They will evaluate the condition, possibly perform a biopsy, and recommend treatment based on the diagnosis:
* Biopsy and Diagnosis: A biopsy may be performed to determine if a growth is benign or malignant.
* Surgical Removal: Growths may need to be removed through either minimally invasive or more extensive surgical procedures.
* Radiation and Chemotherapy: For cancerous growths, radiation or chemotherapy may be required. Follow-up appointments are necessary to monitor progress and check for recurrences.
Related Stories:
# 8 Must Try Home Remedies To Get Rid of Hiccups
# 5 Foods To Help You Improve Eyesight
# 5 Japanese Healthy Habits To Start Your Day With





