- Home›
- Healthy Living›
- 4 Reasons Why You Should Not Brush For More Than 2 Minutes
4 Reasons Why You Should Not Brush For More Than 2 Minutes
By: Priyanka Maheshwari Sat, 23 Mar 2024 12:34:09

As a child, I despised the chore of brushing my teeth, leading to discoloration. In my youth, I paid little heed to this, but as a teenager, I detested the sight of my yellowing teeth. Desperately, I intensified my brushing routine, spending nearly five minutes at a time in hopes of reversing the discoloration. Unfortunately, this overzealous approach may have compromised my enamel, ultimately necessitating a visit to the dentist, who cautioned against excessive brushing, advising no more than two minutes per session.
Properly brushing one's teeth twice daily is crucial for oral hygiene, yet many are unaware of the optimal duration for brushing. Some individuals brush for insufficient periods, leaving their teeth inadequately cleaned, while others exceed the necessary duration, risking dental issues.
The misconception that more brushing equates to better dental health is prevalent, but it can have detrimental consequences.

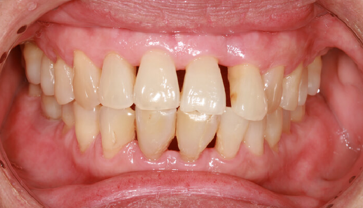
# Gum Recession
Overzealous brushing can lead to gum recession, where the gum tissue diminishes, revealing more of the tooth's root. This condition can heighten tooth sensitivity and elevate the likelihood of cavities.
# Enamel Erosion
Excessive brushing, whether too forceful or prolonged, can erode the protective enamel coating of your teeth, rendering them more susceptible to decay and sensitivity.

# Damage to Soft Tissues
Brushing excessively may provoke irritation in the delicate tissues of the mouth, resulting in inflammation, tenderness, and potentially mouth ulcers, as noted by Dr. Satyajit.
# Increased Sensitivity
Aggressive brushing can wear down the enamel and expose the underlying dentin, leading to heightened sensitivity to hot, cold, sweet, or acidic foods and beverages.

How Often Should You Brush Each Day?
Dental professionals advise brushing your teeth at least twice daily – once in the morning and once before bedtime. Brushing after meals aids in the removal of food particles and bacteria; however, it's important to avoid brushing too soon after consuming acidic foods or beverages, as this can exacerbate enamel weakening.
While regular tooth brushing is essential for maintaining optimal oral health, it's vital to strike a balance and avoid excessive brushing. Limiting brushing sessions to two minutes and employing proper brushing techniques can help prevent issues such as gum recession, enamel erosion, and other dental concerns. By caring for your teeth diligently, you can preserve a healthy smile for years to come.





