- Home›
- Healthy Living›
- What Is Pneumothorax? 5 Effective Remedies To Treat Pneumothorax
What Is Pneumothorax? 5 Effective Remedies To Treat Pneumothorax
By: Priyanka Maheshwari Sat, 15 June 2024 4:41:40

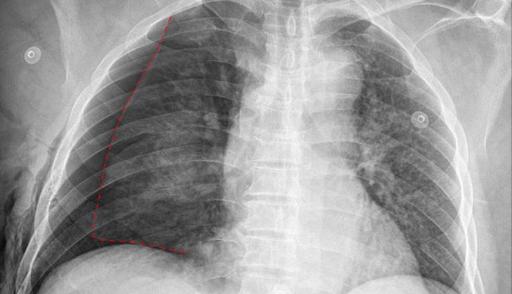
Pneumothorax is a medical condition characterized by the presence of air or gas in the pleural cavity, the space between the lungs and the chest wall. Normally, this space is filled with a small amount of fluid that helps the lungs expand and contract smoothly during breathing. When air enters this space, it can cause the lung to collapse partially or fully, depending on the amount of air present.
There are several types of pneumothorax:
- Primary Spontaneous Pneumothorax: This occurs without any known underlying lung disease or trauma. It often happens in tall, thin individuals, and the cause is thought to be related to small blebs (weak spots) on the lung surface that rupture spontaneously.
- Secondary Pneumothorax: This type occurs due to an underlying lung disease or condition, such as chronic obstructive pulmonary disease (COPD), asthma, or lung infections. It can also result from trauma to the chest.
- Traumatic Pneumothorax: This occurs due to chest trauma, such as a rib fracture from a fall or a penetrating injury (like a stab wound or gunshot wound) that allows air to enter the pleural space.
Symptoms of pneumothorax can include sudden chest pain (often sharp and on one side), shortness of breath, rapid breathing, and sometimes a bluish discoloration of the skin due to lack of oxygen. Diagnosis is typically made through a physical exam, imaging tests like chest X-ray or CT scan, and sometimes by measuring oxygen levels in the blood.
Treatment depends on the severity of the pneumothorax. Small pneumothoraces may resolve on their own, but larger or symptomatic cases may require intervention. Treatment options include observation, chest tube insertion to remove the air and allow the lung to re-expand, and occasionally surgery to repair the lung if the condition is recurrent or severe.
The treatment of pneumothorax depends on its severity and the underlying cause. Here are the common remedies and treatments used:

# Observation (for small, asymptomatic pneumothorax):
Small pneumothoraces without symptoms may resolve on their own without intervention. In such cases, doctors may choose to observe the patient closely with repeat chest X-rays to monitor for any changes.

# Supplemental Oxygen:
Giving supplemental oxygen can help reabsorb the trapped air in the pleural space faster, especially in small pneumothoraces. This method is often used in combination with observation.

# Needle Aspiration:
If the pneumothorax is small but causing symptoms like shortness of breath, a doctor may use a needle to draw out the air from the pleural space. This procedure is called needle aspiration or needle decompression.

# Chest Tube Insertion (Tube Thoracostomy):
For larger or symptomatic pneumothoraces, a chest tube may be inserted through the chest wall into the pleural space. This tube allows trapped air to escape and helps the lung re-expand. The tube is usually connected to a drainage system to continuously remove air until the lung has fully re-expanded and the pneumothorax has resolved.

# Surgery (Thoracotomy):
In some cases, especially if there are recurrent pneumothoraces or if the pneumothorax is large and not responding to other treatments, surgery may be necessary. The surgical procedure, called thoracotomy, involves repairing the lung and preventing air from leaking into the pleural space.





